În cazul copiilor, aparatul dentar este mai mult decât o soluție estetică – este o investiție în sănătatea orală pe termen lung. Corectarea mușcăturii, alinierea dinților și ghidarea creșterii corecte a maxilarelor pot preveni probleme serioase mai târziu.
🔹 Cu răbdare și comunicare constantă, îi ajutăm pe cei mici să înțeleagă că aparatul dentar nu este un motiv de rușine, ci un pas curajos spre un zâmbet sănătos.
✔️ Folosim aparate dentare moderne, estetice sau invizibile (safir, ceramică, gutiere transparente – tip Invisalign), potrivite stilului de viață al pacientului adult.
✔️ Tratamentele ortodontice la vârsta adultă sunt la fel de eficiente ca în copilărie, doar că necesită o planificare personalizată și o bună colaborare.
✔️ Avem grijă să integram ortodonția cu alte tratamente, atunci când este cazul (protetică, implanturi, chirurgie ortognatică).
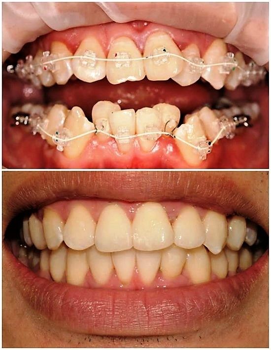
Este cel mai cunoscut și utilizat tip de aparat dentar. Este fix, are bracketuri metalice și arcuri elastice care aplică presiune controlată asupra dinților.
Indicat pentru:

Aparat fix, dar cu bracketuri transparente sau de culoarea dinților, oferind o estetică superioară față de cel metalic.
Indicat pentru:


Aparat ortodontic mobil, format din gutiere transparente personalizate, schimbate periodic pentru a ghida dinții spre poziția corectă.
Indicat pentru:
Aparat detașabil, folosit mai ales la copii în perioada de creștere pentru ghidarea dezvoltării corecte a maxilarelor.
Indicat pentru:

La clinica noastră, oferim consultație ortodontică completă, analiză digitală 3D și plan de tratament personalizat pentru fiecare pacient, indiferent de vârstă.
Nu știi ce aparat dentar ți se potrivește? Vino la o evaluare completă și lasă-ne să găsim cea mai bună soluție pentru tine – estetică, eficientă și adaptată nevoilor tale.

Aparatul dentar poate fi purtat începând de la 6-7 ani, dacă medicul ortodont recomandă. Nu există o limită de vârstă – adulții pot purta aparat dentar cu aceleași rezultate excelente, dacă sunt sănătoși din punct de vedere parodontal.
Aplicarea aparatului dentar nu doare. Poate apărea un disconfort temporar în primele zile, dar acesta dispare rapid. Există soluții pentru calmarea sensibilității (gheață, analgezice ușoare).
Durata variază între 6 luni și 2-3 ani, în funcție de severitatea problemelor dentare, tipul aparatului și cooperarea pacientului.
Cele mai populare tipuri:
La început, pot apărea ușoare modificări în vorbire (mai ales cu aparatele mobile sau linguale), dar te adaptezi în câteva zile.
Evită:
Da, se poate. Medicul ortodont va integra tratamentul ortodontic cu tratamentele deja existente sau viitoare (protetică, implanturi, plombe).
Da. Retainerul (mobil sau fix) este esențial pentru menținerea rezultatelor obținute și prevenirea recidivei.

În jurul aparatelor dentare circulă multe idei greșite care îi fac pe unii pacienți să amâne tratamentul ortodontic. În realitate, ortodonția modernă este confortabilă, eficientă și accesibilă pentru toate vârstele.
Hai să clarificăm împreună cele mai comune mituri despre aparatul dentar și să descoperim adevărul medical, explicat simplu și direct.
Nu este adevărat.
Adevărul este că aparatele dentare funcționează excelent și la adulți, indiferent de vârstă. Cu planificare ortodontică personalizată și opțiuni estetice (Invisalign, ceramic, safir), tot mai mulți pacienți peste 30–40 de ani își corectează zâmbetul cu succes.

Nu este adevărat.
Aplicarea aparatului dentar este nedureroasă. Poate apărea un mic disconfort în primele zile, dar acesta este normal și ușor de gestionat cu analgezice ușoare. Majoritatea pacienților se adaptează rapid și continuă viața normală.
Doar temporar sau deloc.
La început, pot apărea mici schimbări în vorbire, mai ales cu aparate mobile sau linguale, dar acestea dispar în câteva zile. Mai mult, există opțiuni discrete, precum gutierele transparente Invisalign, care nu afectează vorbirea deloc și sunt practic invizibile.
Total greșit.
Aparatele dentare au evoluat enorm: există variante estetice, cu bracketuri transparente, ceramice sau din safir, și opțiuni complet invizibile – cum sunt alignerele Invisalign. Astăzi, îți poți îndrepta dinții fără ca ceilalți să observe.
Doar dacă nu respecți indicațiile.
După finalizarea tratamentului ortodontic, medicul îți va recomanda un retainer (mobil sau fix) care menține rezultatele obținute. Dacă îl porți corect, dinții NU se mai deplasează și zâmbetul tău rămâne stabil.
Aparatul dentar NU este dureros, rușinos sau rezervat copiilor. Cu opțiunile moderne și suportul unui medic ortodont empatic, tratamentul poate fi confortabil, discret și eficient la orice vârstă.