Parodontologia este ramura stomatologiei care se ocupă cu prevenirea, diagnosticarea și tratarea bolilor parodonțiului – adică țesuturile de susținere ale dinților: gingia, osul alveolar, ligamentele și cementul radicular. Sănătatea gingiilor este esențială pentru păstrarea dinților pe termen lung.
Din păcate, afecțiunile parodontale sunt silențioase, dar progresive. Netratate, pot duce la pierderea dinților chiar și în absența cariilor. Vestea bună este că, prin tratamente specializate, putem opri evoluția bolii și putem reda pacientului o dantură stabilă și sănătoasă.





O abordare integrată, în care parodontologia este corelată cu celelalte ramuri, duce la rezultate predictibile și durabile.

Boala parodontală, cunoscută și ca parodontoză, este o infecție cronică a gingiilor și a osului care susține dinții. Ea evoluează în 3 etape:


O gingie sănătoasă este semnul unui zâmbet sănătos.
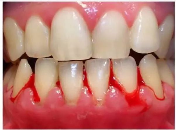
Parodontoza (corect numită parodontită) este o boală inflamatorie cronică ce afectează țesuturile de susținere ale dinților – gingia și osul alveolar. Apare din cauza plăcii bacteriene netratate, igienei orale necorespunzătoare, fumatului sau predispoziției genetice. Lăsată netratată, poate duce la mobilitate dentară și pierderea dinților.
Semnele clasice includ:

Da, în stadiile incipiente sau moderate, tratamentul nechirurgical este suficient:
Evoluția bolii parodontale diferă de la persoană la persoană. La unii pacienți, boala poate progresa lent în ani de zile, iar la alții (în forme agresive), poate avansa rapid în doar câteva luni. De aceea, diagnosticul precoce este esențial pentru a preveni pierderi iremediabile.
Nu neapărat. Boala parodontală nu doare în fazele inițiale. Simptomele pot fi silențioase, iar primul semn vizibil este, de multe ori, retracția gingivală sau mobilitatea dentară. De aceea, sunt recomandate controale stomatologice periodice, chiar și fără durere.
Da, în formele avansate și netratate, boala poate duce la pierdere dentară multiplă, inclusiv a dinților sănătoși, din cauza distrugerii osului de susținere. Cu tratament specializat și igienă riguroasă, evoluția poate fi oprită și dinții pot fi salvați.
Predispoziția genetică poate crește riscul de a dezvolta boala parodontală, dar nu este singurul factor. Fumatul, igiena precară și stresul joacă un rol semnificativ. Chiar dacă există o moștenire genetică, boala poate fi prevenită prin igienă orală corectă și controale regulate.
Prin:
Controale stomatologice regulate și tratamente la timp.


Pungile parodontale sunt spații adâncite între dinte și gingie, formate ca urmare a distrugerii țesuturilor de susținere. În aceste zone se acumulează bacterii, care continuă să distrugă osul și gingia, dacă nu sunt tratate. Măsurarea lor este esențială pentru stabilirea diagnosticului parodontal.
În cazurile avansate, se pot folosi:
Nu aștepta până când gingiile se retrag sau dinții devin mobili. Printr-un consult parodontal, putem depista la timp semnele bolii și stabili un plan personalizat de tratament.