La clinica noastră de stomatologie, punem accent pe chirurgia orală realizată cu blândețe, calm și profesionalism. Știm că pentru mulți pacienți, cuvintele „intervenție chirurgicală” vin la pachet cu emoții puternice și teamă. De aceea, echipa noastră medicală lucrează cu răbdare, empatie și explicații clare, astfel încât fiecare pacient să se simtă în siguranță, informat și în control.


Implantul dentar este un tratament de top în chirurgia orală, cu rezultate funcționale și estetice excelente. În cadrul clinicii noastre:
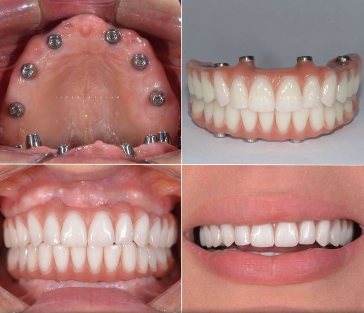
Pentru pacienții fără dinți sau cu dantură compromisă, sistemele All-on-X (4, 6 sau mai multe implanturi) sunt soluția ideală:
Dacă pacientul nu are suficient os pentru implant, echipa noastră recomandă adiția osoasă – o etapă esențială pentru succesul tratamentului pe termen lung:
💬 Lucrăm cu grijă, calm și respect pentru fiecare pacient

Chirurgia orală este una dintre cele mai frecvent întâlnite specializări în stomatologie, însă pentru mulți pacienți, ideea unei intervenții chirurgicale dentare aduce anxietate, teamă și amânări. În acest articol, echipa noastră medicală îți explică cele mai comune temeri legate de chirurgia orală, dar și cum le gestionăm cu blândețe și înțelegere.
✔️ Este cea mai comună temere.
🩺 Adevărul: Toate procedurile se fac sub anestezie locală sau sedare, iar pacienții nu simt durere. Tehnologia actuală permite intervenții sigure și confortabile.
✔️ Teama că durerea va persista sau va fi greu de suportat.
🩺 Adevărul: Majoritatea pacienților simt doar un disconfort ușor, gestionabil cu antiinflamatoare ușoare. Medicii noștri îți oferă indicații clare pentru recuperare fără durere.
✔️ Pacienții se tem că „ceva poate merge prost”.
🩺 Adevărul: Cu o igienă corectă și respectarea tratamentului post-operator, riscul este minim. Folosim tehnici sterile și materiale premium pentru siguranță maximă.
✔️ Un mit frecvent legat de extracții sau implanturi.
🩺 Adevărul: Sângerările sunt minime și controlate în cabinet. Ghidul nostru post-operator include toate măsurile pentru o vindecare liniștită.
✔️ Mai ales în cazul pacienților cu fobie dentară.
🩺 Adevărul: Anestezia locală se administrează cu ace foarte fine, iar la nevoie folosim geluri anestezice sau chiar sedare ușoară, pentru confort total.
✔️ Mulți pacienți se simt anxioși pentru că nu știu exact ce urmează.
🩺 Adevărul: În clinica noastră, explicăm fiecare pas, oferim informații clare, scrise și vorbite, pentru ca tu să știi tot ce urmează, fără surprize.

✔️ Frică de „implant respins” sau „lucrări nereușite”.
🩺 Adevărul: Lucrăm cu rate de succes de peste 97% în implantologie. Alegem soluțiile potrivite, adaptate nevoilor reale ale fiecărui pacient.
✔️ O îngrijorare frecventă în rândul pacienților noi.
🩺 Adevărul: La noi, prețurile sunt transparente. Primești plan de tratament scris, etapizat și explicat, înainte de a începe orice procedură.
✔️ Mulți pacienți se tem că nu vor putea mânca sau merge la serviciu.
🩺 Adevărul: Recuperarea este surprinzător de rapidă. Îți oferim indicații clare despre alimentație, igienă și reluarea activităților.
✔️ Anxietatea generală sau frica de cabinete medicale.
🩺 Adevărul: Echipa noastră este formată din oameni care știu să asculte. Avem răbdare, empatie și grijă față de fiecare emoție. Nu te judecăm. Te susținem.