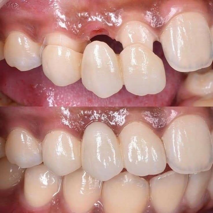
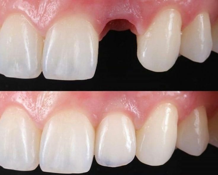
Punte dentară – o soluție fixă, estetică și funcțională pentru înlocuirea dinților lipsă
Pierderea unui dinte sau a mai multora poate afecta nu doar estetica zâmbetului, ci și capacitatea de a mesteca corect sau de a vorbi clar. Punțile dentare sunt lucrări protetice fixe, concepute pentru a înlocui dinții absenți și pentru a reda complet funcționalitatea arcadelor dentare.





