Echipa de stomatologi HT Smile tratează cu prioritate urgențele dentare, oferind soluții rapide pentru a elimina durerea și disconfortul. Înțelegem cât de supărătoare pot fi problemele dentare acute, de aceea facem tot posibilul să găsim loc în programări pentru pacienții care au nevoie de ajutor imediat. Sănătatea și confortul tău sunt pe primul loc, iar noi suntem aici să intervenim când ai cea mai mare nevoie!

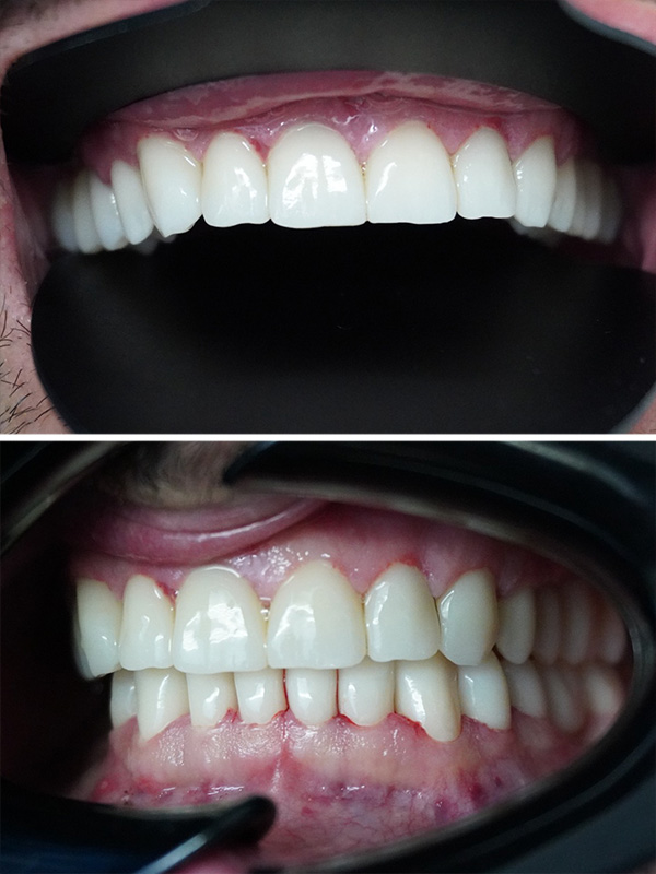
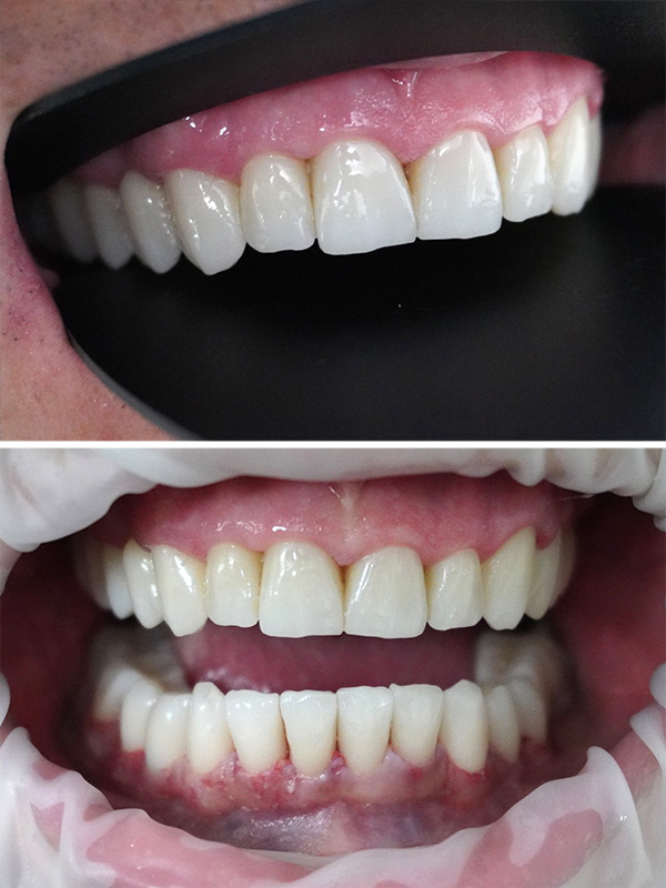
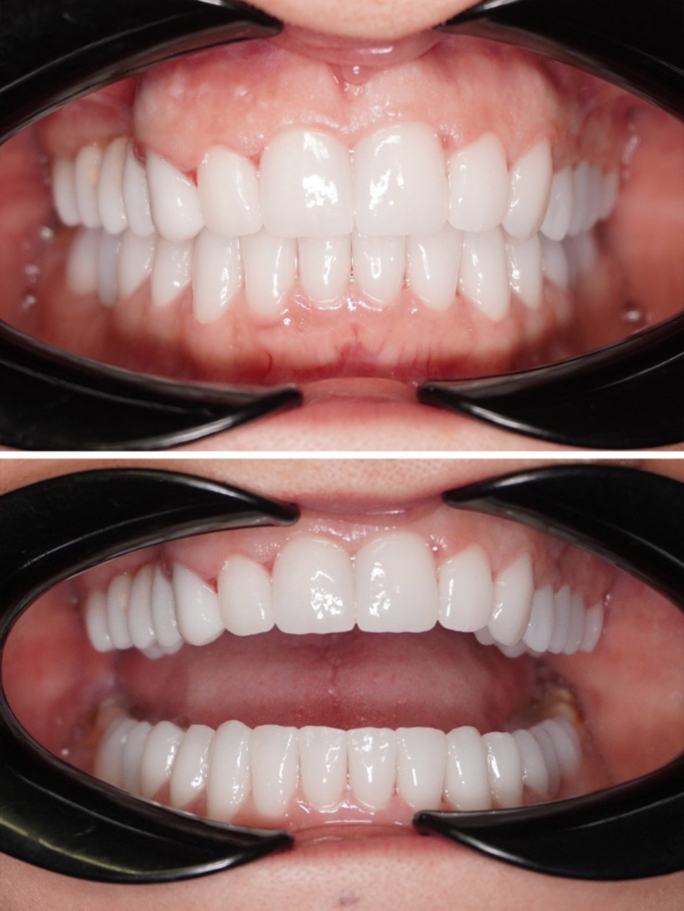
Reabilitare orala totala – cazul 01

Prezentare de caz, pe scurt:
Pacienta s-a prezentat cu o estetica nesatisfacatoare, printr-o incongruenta dento-alveolara cu inghesuire in zona frontala si rotire a incisivului in ax. Existenta numeroaselor leziuni de abfractie, abraziune si fisuri ale smaltului ca urmare a unor coronite si obturatii dentare incorect adaptate morfologic. Tiparul masticator aberant din punct de vedere functional si dentina descoperita la coletul dintilor.

Tratament, pe scurt:
Dupa studiul modelelor in articulator, s-a decis ca plan de tratament reabilitarea orala totala. S-au slefuit toti dintii in vederea acoperirii cu material ceramic hibrid sub forma coronitelor unidentare. Pentru acest tratament nu a fost necesara devitalizarea dintilor.
Pacienta se bucura in prezent de un zambet armonios si functional.

Stiai ca…?

Poți mânca orice după ce ai un implant bine integrat, exact ca pe dinții naturali.

Before imageAfter image

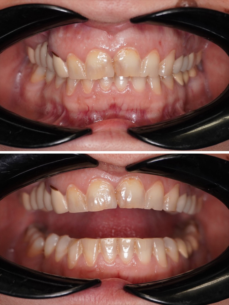
Reabilitare orala totala – cazul 01.5

Prezentare de caz, pe scurt:
Pacientul s-a prezentat in clinica HTSmile acuzand un bruxism avansat, aproape jumatate din substratul coronar abrazat, ocluzie instabila, dificultati alimentare. Dintii prezentau numeroase fisuri in smalt si leziuni de abfractie, semn al traumei ocluzale si ale unui sprijin lateral inexistent. Distanta verticala de ocluzie mult micsorata, aspect estetic nemultumitor, numeroase coloratii endo si exogene. Datorita dentinei expuse, sensibilitatea dentara devenea din ce in ce mai ingrijoratoare iar masticatia si deglutitia ineficiente.

Tratament, pe scurt:
Dupa ce s-au luat amprentele de studiu, s-a inregistrat ocluzia si distanta verticala de ocluzie cu ajutorul arcului facial si a placutei de ocluzie, s-au prefigurat lucrarile provizorii cu care pacientul a stat aproximativ doua luni. S-au slefuit minim invaziv dintii, s-a realizat alungirea bonturilor protetice si s-au acoperit cu material PMMA provizoriu in vederea relaxarii musculaturii si articulatiei temporo-mandibulare. Treptat, pacientul nu a mai bruxat si odata cu obtinerea comfortului articular si ocluzal, lucrarile au fost schimbate cu cele definitive, coronite individuale, integral ceramice hybride. In prezent pacientul se bucura de un zambet sanatos, stralucitor si functional.

Stiai ca…?

Poți mânca orice după ce ai un implant bine integrat, exact ca pe dinții naturali.

reabilitare orala totala Bucurestireabilitare orala totala Bucuresti
reabilitare orala totala Bucurestireabilitare orala totala Bucuresti - clinica stomatologica

Reabilitare orala totala – cazul 01.6

Prezentare de caz, pe scurt:
Pacienta s-a prezentat in clinica HTSmile prezentand numeroase lucrari protetice metalo-ceramice vechi, incorect adaptate cervical si morfologic. Datorita acestor lucrari, ocluzia a devenit instabila, fortele masticatorii au fost distribuite eronat, trauma ocluzala s-a instalat pe dintii maxilari frontali si acestia s-au deplasat atat in plan sagital cat si transversal. Pacienta prezinta o bresa edentata mandibulara si aspect estetic nemultumitor datorita fisurilor in smalt, coloratiilor exogene, leziunilor de abfractie si abraziune.

Tratament, pe scurt:
S-a realizat ablatia tuturor lucrarilor vechi, s-au refacut bonturile protetice subiacente si s-au reslefuit cu prag corespunzator subgingival. Dintii restanti, s-au slefuit in limite minim invazive, fara sacrificiu mare de substrat biologic si fara devitalizare nerv, in vederea acoperirii cu ceramica hybrida sub forma coronitelor unidentare. S-au inserat doua implanturi dentare si s-a cimentat o lucrare protetica provizorie pana la osteointegrarea acestora. Planul de oclzuie a fost echilibrat si in prezent, pacienta se bucura de un zambet sanatos, functional si stralucitor.

Stiai ca…?

Poți mânca orice după ce ai un implant bine integrat, exact ca pe dinții naturali.

Before imageAfter image
Before imageAfter image

Reabilitare orala totala – cazul 01.7

Prezentare de caz, pe scurt:
Pacienta s-a prezentat in clinica HTSmile avand numeroase lucrari protetice metalo-ceramice vechi, incorect adaptate cervical si morfologic. Puntile dentare fiind prea lungi, dintii stalpi au suferit fenomene de trauma ocluzala. Estetica nesatisfacatoare datorita fisurilor dentare, abraziunilor si abfractiilor precum si a coloratiilor exogene.Ocluzie instabila, ineficienta in actul masticator. Gingii edemantiate cu inceput de afectare parodontala datorita demarcatiei de la nivelul coletului coronitelor care acumuleaza permanent placa bacteriana si microbiana.

Tratament, pe scurt:
S-a realizat ablatia tuturor lucrarilor vechi, s-au refacut bonturile protetice subiacente si s-au reslefuit cu prag corespunzator subgingival. In edentatiile existente s-au inserat implanturi dentare si pe parcursul osteointegrarii pacienta a beneficiat de lucrari dentare provizorii in zonele edentatiilor. S-au slefuit minimm invaziv, fara devitalizare nerv toti dintii si s-au acoperit cu material ceramic hybrid sub forma coronitelor unidentare. In prezent pacienta se bucura de un zambet stralucitor si sanatos!

Stiai ca…?

Poți mânca orice după ce ai un implant bine integrat, exact ca pe dinții naturali.

Before imageAfter image
Before imageAfter image

Reabilitare orala totala – cazul 01.8

Prezentare de caz, pe scurt:
Pacientul s-a prezentat in clinica HTSmile cu 4 brese edentate in dreptul molarilor de 6 ani, stalpii ocluziei din zona laterala. Acest fapt, coroborat cu incongruenta dentoalveolara a dus la ocluzie instabila, cu devieri in masticatie. Trauma ocluzala rezultat din acest fapt, este vizibila prin numeroase leziuni de colet, abfractii si abraziuni. Pacientl prezinta lucrari protetice metalo-ceramice, infiltrate in bonturile protetice subiacente. Culoarea si morfologia dintilor nu avantajeaza pacientul din punct de vedere estetic. Masticatia este deficitara in zonele afectate de bresele edentate.

reabilitare orala totala noiembrie 2025 - before 1reabilitare orala totala noiembrie 2025 - after 1
reabilitare orala totala noiembrie 2025 - before 2reabilitare orala totala noiembrie 2025 - after 2
reabilitare orala totala noiembrie 2025 - before 3reabilitare orala totala noiembrie 2025 - after 3

Tratament, pe scurt:
S-a realizat ablatia lucrarilor vechi, slefuirea dintilor, fara devitaizarea in prealabil a acestora. S-a optat pentru protezarea fixa a breselor edentate prin punti de un element. Dintii vecini breselor au favorizat un ax de insertie adecvat, nefiind basculati, rotati in ax sau egresati. Slefuirea a fost minim invaziva, cu prag subgingival iar coronitele sunt din material integral ceramice unidentare. Culoarea aleasa este o nuanta naturala, integrate cu fizionomia si culoarea tegumentelor pacientului. In prezent pacientul se bucura de un zambet sanatos si stralucitor.

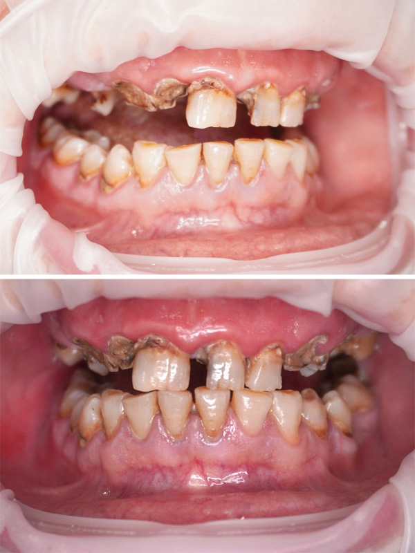
Reabilitare orala totala – cazul 01.9

Prezentare de caz, pe scurt:
Pacienta s-a prezentat in cabinetul nostru, acuzand o estetica nemultumitoare, opacitatea lucrarilor protetice, culoarea neadecvata, gingia inflamata si sangeranda la palpare si spontan. Coronitele metaloceramice prezentau un relief ocluzal inexistent, o convexitate exagerata si o supradimensionare. Muchiile incizale prezentau dimensiuni deranjante in fonatie si repaus. Bonturile protetice subiacente au fost slefuite de doua ori in istoricul pacientei, distructia materialului biologic a fost maxima si au necesitat devitalizarea in urma cu o perioada de cativa ani. Datorita unor bonturi subdimensionate exagerat si a unor lucrari protetice solidarizate extrem de groase, acestea nu aveau retentie, decimentandu-se mereu. Pacienta acuza dificultati alimentare, trauma ocluzala si gingivita.

Tratament, pe scurt:
Cu foarte mare grija s-a realizat ablatia lucrarilor metalo-ceramice. Pivotii metalici si infiltratiile subiacente au dus la distructia in timp a bonturilor protetice. Am optat pentru retratamente endodontice, inserare pivoti fibra de sticla, reconstructia bontului prin alungirea acestuia si prepararea lui cu prag subgingival. S-au acoperit aceste bonturi prin coronite ceramice, adecvate ca morfologie cu formei fetei pacientei si avand o culoare si transluciditate adecvate pentru nuanta tenului si linia surasului. In prezent pacienta se bucura de lucrari protetice fixe, care nu se mai decimenteaza spontan, ocluzie stabila si functionala in masticatie si etetica de Hollywood.

reabilitare-orala-septembrie-2025-before-5After image
reabilitare-orala-oct 2025 - before xreabilitare-orala-oct 2025 - after x

Reabilitare orala totala – cazul 02

Prezentare de caz, pe scurt:

Pacientul s-a prezentat in clinica HTSmile cu numeroase lucrari metaloceramice incorect adaptate. Planul acestuia de ocluzie avea numeroase interferente, masticatia realizandu-se aberant. Musculatura mimicii fetei asimetrica, coridorul buccal marit, estetica nesatisfacatoare prin culoarea nepotrivita, forma dintilor in  neconcordanta  cu fizionomia si opacitate marcata a lucrarilor protetice. Zona laterala maxilara a fost reabilitata prin implanturi dentare, lucrarea protetica de tip punte a fost fortata sa intre in hexul implantului, fapt ce a dus la fisurarea acestuia in os. Pacientul prezinta retractii gingivale marcate datorita materialului nebiointegrabil si a pragurilor incorect slefuite.

 

Tratament, pe scurt:

S-a realizat ablatia lucrarilor vechi, s-au curatat bonturile protetice infiltrate, s-au reconditionat acestea. Dintii naturali s-au slefuit fara necesitatea devitalizarii endodontice. Provocarea si individualitatea cazului a constat in adaptarea lucrarilor protetice in zona implanturilor intrucat pozitia acestora a fost nefavorabila. Dintii s-au imbracat in coronite ceramice individualizate. In prezent pacientul se bucura de o dantura sanatoasa, functionala si frumoasa.

Before imageAfter image

Reabilitare orala totala – cazul 02.1

Prezentare de caz, pe scurt:
Pacientul s-a prezentat in clinica HTSmile cu 4 brese edentate in dreptul molarilor de 6 ani, stalpii ocluziei din zona laterala. Acest fapt, coroborat cu incongruenta dentoalveolara a dus la ocluzie instabila, cu devieri in masticatie. Trauma ocluzala rezultat din acest fapt, este vizibila prin numeroase leziuni de colet, abfractii si abraziuni. Pacientl prezinta lucrari protetice metalo-ceramice, infiltrate in bonturile protetice subiacente. Culoarea si morfologia dintilor nu avantajeaza pacientul din punct de vedere estetic. Masticatia este deficitara in zonele afectate de bresele edentate.

Tratament, pe scurt:
S-a realizat ablatia lucrarilor vechi, slefuirea dintilor, fara devitaizarea in prealabil a acestora. S-a optat pentru protezarea fixa a breselor edentate prin punti de un element. Dintii vecini breselor au favorizat un ax de insertie adecvat, nefiind basculati, rotati in ax sau egresati. Slefuirea a fost minim invaziva, cu prag subgingival iar coronitele sunt din material integral ceramice unidentare. Culoarea aleasa este o nuanta naturala, integrate cu fizionomia si culoarea tegumentelor pacientului. In prezent pacientul se bucura de un zambet sanatos si stralucitor.

reabilitare orala totala oct2025 - 1 beforereabilitare orala totala oct2025 - 1 after
reabilitare orala totala oct2025 - 2 beforereabilitare orala totala oct2025 - 2 after

Reabilitare orala totala – cazul 02.2

Prezentare de caz, pe scurt:
Pacienta s-a prezentat in clinica HTSmile acuzand o estetica nemultumitoare. Dupa inregistrarea ocluziei si amprentarea campurilor protetice, s-a constatat ocluzia instabila si incongruenta sagitala accentuata. Atat forma cat si culoarea dintilor nu avantajeaza pacienta. Existenta a numeroase leziuni de fisura si abraziune indica recomandarea de reabilitare orala totala. Prezenta lucrarilor protetice metalo-ceramice, cu infiltrare subiacenta, necomforme ocluzal si inchidere cervicala subragingivala.

Tratament, pe scurt:
S-a realizat etapa de ablatie a lucrarilor metalo-ceramice, cu reconstructia bonturilor protetice restante. S-au elimnat pivotii din metal si s-au inlocuit cu pivoti din fibra de sticla. S-au slefuit dintii, cu minim sacrificiu biologic, avand inchiderea subgingivala. Dupa ce ocluzia a fost studiata in laboratorul nostru de tehnica dentara, s-a realizat noul design si s-au acoperit dintii cu material integral ceramic hybrid prin coronite unidentare. In prezent pacienta se bucura de un zambet functional, frumos si sanatos.

reabilitare-orala-septembrie-2025-after 3reabilitare-orala-septembrie-2025-before-3
reabilitare-orala-septembrie-2025-before-4reabilitare-orala-septembrie-2025-after 4

Reabilitare orala totala – cazul 02.3

Prezentare de caz, pe scurt:
Pacientul s-a prezentat in clinica HTSmile acuzand dureri la masticatie, dificultati alimenare, dureri localizate si iradiate, sangerari spontante si la palpare. Acesta prezinta numeroase resturi radiculare, chisturi dentare, procese carioase ce au deschis camera pulpara. Pacientul nu mai are distanta verticala de ocluzie optima, fonatia este ingreunata, tiparul masticator aberant si fizionomia compromisa.

Tratament, pe scurt:
S-a realizat etapa chirurgicala de indepartare a tuturor focarelor infectioase, s-au chiuretat chisturile dentare, s-au extras dintii irecuperabili din punct de vedere protetic si parodontal. Dintii restanti s-au tratat endodontic prin tratament complet de canal, inserare pivoti fibra de sticla si refacere bonturi protetice. Dupa slefuirea minim invaziva a dintilor restanti, acestia s-au acoperit cu ceramica hibrida sub forma coronitelor individuale. Particularitatea cazului consta in momentul prezentarii pacientului in cabinet. Salvarea dintilor a fost dificila intrucat acestia se aflau la limita de extractie. Pacientul a optat pentru o culoare naturala care ii evidentiaza si lumineaza trasaturile chipului.
In acest moment pacientul se bucura de un zambet frumos, sanatos si functional.

caz reabilitare totala august 2025 - before 1caz reabilitare totala august 2025 - after 1
caz reabilitare totala august 2025 - before 2caz reabilitare totala august 2025 - after 2

Reabilitare orala totala – cazul 02.5

Prezentare de caz, pe scurt:
Pacientul s-a prezentat in clinica HTSmile acuzand numeroase lucrari protetice de tip coronite si punti metalo-ceramice incorect adaptate morfologic si functional. Limita de demarcatie gingie-preparatie clar vizibila. Pacientul acuza estetica nemultumitoare prin forma dintilor, culoare si lipsa armoniei la nivelul chipului. Numeroase leziuni carioase surprinse in stadii incipiende de evolutie, fisuri de smalt, abfractii, eroziuni si abraziuni. Pacientul acuza durere in dreptul incisivilor inferiori datorita unui dinte irecuperabil din punct de vedere protetic si parodontal, ce prezinta chist periapical intins pe mai mult de 2/3 din lungimea radacinii. Ocluzie cu tipar masticator aberant din punct de vedere functional si existenta unei incongruente dento-alveolare prin inghesuire marcate.

Tratament, pe scurt:
S-a realizat ablatia tuturor lucrarilor vechi si incorect adaptate. S-a realizat chiuretajul in camp deschis al pungior patodontale existente si schimbarea bonturilor protetice cu angulatii optime in zona implantara. S-a extras dintele irecuperabil, fapt ce a permis alinierea lor corecta pe arcada mandibulara. S-au slefuit dintii restanti intr-o maniera minim invaziva, fara necesitatea devitalizarii si s-au imbracat in coronite unidentare integral ceramice. S-au refacut preparatiile cu inchidere subgingivala pentru bonturile protetice anterioare. In acest moment, pacientul se bucura de un zambet straluciotor, functional si sanatos.

reabilitare-orala-caz-iulie-2025-before1reabilitare-orala-caz-iulie-2025-after1
reabilitare-orala-caz-iulie-2025-before2reabilitare-orala-caz-iulie-2025-after2

Reabilitare orala totala – cazul 02.6

Prezentare de caz, pe scurt:
Pacientul s-a prezentat in clinica HTSmile prezentand numeroase focare infectiose, resturi radiculare si procese carioase surprinse in etape avansate. Dintii prezentau numeroase suprafete de abraziune datorita lipsei unitatilor masticatorii laterale precum si leziuni de abfractie datorita traumei ocluzale. Culoarea, forma si dimensiunea dintilor este nesatisfacatoare pentru pacient.

Tratament, pe scurt:
S-a realizat etapa de asanare a cavitatii orale prin indepartarea tuturor proceselor infectioase, chiuretaje si lavaje antiseptice. Dintii surprinsi in stadii avansate ale proceselor carioase au fost extrasi iar cei aflati la limita, au fost salvati prin tratamente endodontice de canal, inserare pivoti fibra de sticla si refacere bonturi protetice. Dintii au fost acoperiti prin ceramica hibrida biointegrabila sub forma coronitelor dentare individuale. S-a optat pentru inserarea implanturilor in zonele breselor edentate. S-a restaurat atat functia masticatorie cat si cea estetica printr-o culoare naturala, translucenta si inaltimea adecvata a unitatilor dentare.
In acest moment pacientul se bucura de un zambet frumos, sanatos si functional.

caz reabilitare orala dentara totala - august 2025 - inainte 3caz reabilitare orala dentara totala - august 2025 - dupa 3
caz reabilitare orala dentara totala - august 2025 - inainte 4caz reabilitare orala dentara totala - august 2025 - dupa 4

Reabilitare orala totala – cazul 02.7

Prezentare de caz, pe scurt:
Pacienta prezinta numeroase lucrari protetice metalo-ceramice incorect adaptate morfologic si functional. Datorita neadaptarii lucrarilor, bonturile subiacente s-au infiltrat si distrus. Tatuajul gingival prezent si gingiivita in stadiu incipient. Linia mediana a zambetului deviata in lateral si coridorul bucal marit. Prezenta unei brese edentate de dimensiuni prea mari pentru a fi restaurata corect prin punte dentara. Pacienta acuza o estetica nesatisfacatoare prin opacitatea accentauata a lucrarilor, culoarea nepotrivita nuantei pielii si a ochilor precum si forma neadecvata fizionomiei.

Tratament, pe scurt:
S-a realizat ablatia tuturor lucrarilor vechi si incorect adaptate. S-a realizat curatarea si refacerea bonturilor. Dupa inregistrarea ocluziei si refacerea distantei verticale de ocluzie, s-a imbracat fiecare bont protetic in ceramica hibrida sub forma coronitelor unidentare. Pragul preparatiei este acum subgingival, posibilitatea infiltratiilor fiind nula. Coridorul bucal s-a marit iar forma noilor coronite este in armonie cu chipul pacientei. Noua nuanta a lucrarior potentiaza trasaturile fetei si lumineaza zambetul. Pacienta se bucura in prezent de un zambet frumos si sanatos.

reabilitare-totala-orala-dentist-stomatolog-before1reabilitare-totala-orala-dentist-stomatolog-after1
reabilitare-totala-orala-dentist-stomatolog-before2reabilitare-totala-orala-dentist-stomatolog-after2

Reabilitare orala totala – cazul 02.8

Prezentare de caz, pe scurt:
Pacienta s-a prezentat in clinica HTSmile acuzand o estetica nemultumitoare. Smaltul a fost afectat de fisuri multiple, leziuni de abfractie si abraziune datorita traumei ocluzale. Bresele edentate din zonele laterale, incorect adaptate morfologic in zona ocluzala cat si la colet, avand gingia retrasa, lizereu metalic pe gingie si infiltratii in bonturile subiacente. Resorbtie osoasa importanta in zona sinusului maxilar. Dimensiunea verticala de ocluzie micsorata datorita abraziunilor frontale. Smaltul prezinta numeroase coloratii extrinseci ce nu avantajeaza pacienta

Tratament, pe scurt:
S-a realizat etapa de ablatie a lucrarilor metalo-ceramice, cu reconstructia bonturilor subiacente, urmata de slefuirea minim invaziva a dintilor naturali, fara necesitatea devitalizarii. Bresele edentate de un element au fost reabilitate prin lucrare protetica tip punte dentara iar cea de dimensiune mai intinsa, prin sinus lift extern cu aditie osoasa si inserare implanturi dentare. In prezent, pacienta are un relief ocluzal corect conceput, cu morfologie de cuspizi si fosete. Pragurile preparatiilor sunt situate subgingival, asigurand o inchidere etansa si eliminarea riscului de infiltrare in bontul subiacent. Pacienta se bucura de un zambet atat sanatos cat si frumos

Before imageAfter image
Before imageAfter image

Reabilitare orala totala – cazul 03

Prezentare de caz, pe scurt:

Pacienta s-a prezentat in clinica HTSmile prezentand un aspect estetic nesatisfacator. Dintii erau abrazati datorita unor obturatii vechi din zonele de stop ocluzal, incorect concepute. Acestea nu prezentau relief de cuspizi si fostete. Acest aspect a dus la micosrarea dimensiunii vertical de ocluzie si abrazarea dintilor frontali. Culoarea dintilor nu ii scotea in evidenta trasaturile chipului, smaltul era fisurat si existau numeroase leziuni de abfractie datorita traumei ocluzale in care se aflau dintii ce au preluat functiile masticatorii.
Ghidajul aberant din punct de vedere fuctional si numeroase coronite vechi, metalo-ceramice, incorect adaptate cervical si ocluzal.

Tratament, pe scurt:

Dupa ce s-au inregistrat amprentele de studiu, s-au montat in articulator si s-a decis digital noua inaltare de ocluzie, dintii au fost slefuiti. Aceasta slefuire a fost minim invaziva, inlaturandu-se aprox. 0.3mm smalt, fara sa necesite tratament de indepartare a nervului. S-au inlaturat coronitele vechi si s-a realizat obturatia cavitatilor carioase. Acest proces asigura o sanatate completa a bonturilor protetice pe sub lucrarile integral ceramice unidentare.

Particularitatea cazului este reprezentat de faptul ca pacienta a optat pentru o culoare naturala care ii potentiaza trasaturile minunate.
In prezent pacienta se bucura de un zambet sanatos, functional si frumos.

reabilitare orala iunie 2025 - inaintecaz reabilitare orala iunie 2025
caz 2 - reabilitare orala iunie 2025 - inaintecaz 2 - reabilitare orala iunie 2025 - final

Reabilitare orala totala – cazul 03.1

Prezentare de caz, pe scurt:
Pacienta s-a prezentat in clinica HTSmile acuzand estetica nemultumitoare prin incongruenta dento-alveolara cu inghesuire, canin vestibularizat excesiv, nuanta ce nu avantaja zambetul, numeroase fisuri ale smaltului, leziuni de abfractie si abraziune datorita ocluziei instabile si a traumei ocluzale.

Tratament, pe scurt:
S-a realizat etapa de amprentare si dupa realizarea modelelor de studiu s-a ghidat slefuirea astfel incat sa nu fie nevoie de a devitaliza caninul vestibularizat. Preparatia dintilor a fost minim invaziva, cu distructie a materialului biologic nesemnificativa, fara devitalizare. Pragurile au fost preparate subgingival astfel incat se sporeste aspectul de naturalete. Materialui folosit este reprezentat de ceramica hybrida. S-au adus unitatile dentare intr-o ocluzie perfecta, stabila, fara interferente ocluzale. Nuanta aleasa se potriveste trasaturilor fetei pacientei, iar dintii sunt in perfecta armonie cu linia surasului si fizionomia fetei. Pacienta se bucura in prezent de un zambet functional, frumos si sanatos.

Before imageAfter image
Before imageAfter image

Reabilitare orala totala – cazul 03.2

Prezentare de caz, pe scurt:
Pacienta s-a prezentat in clinica noastra avand numeroase lucrari vechi metalice, tip Gaudent. Acestea erau incorect adaptate cervical si ocluzal. Datorita lipsei de preparatie cu prag subgingival, bonturile protetice subiacente au fost infiltrate. Pacienta prezinta multiple brese edentate si resturi radiculare. Masticatia are un tipar aberant din punct de vedere ocluzal datorita interferenteor si a lipsei stopurilor laterale.

Tratament, pe scurt:
S-a realizat ablatia lucrarilor vechi, s-au refacut bonturile protetice si s-au realizat tratamentele endodontice necesare. S-au inserat implanturile dentare si s-a asteptat perioada de osteointegrare de 4-5 luni. In aceasta perioada, pacienta a purtat lucrari protetice provizorii sub forma puntilor dentare. S-au incarcat implanturile dentare si s-au slefuit dintii restanti intr-o maniera minim invaziva, cu preparatie subgingivala. In vederea asigurarii esteticii s-a optat pentru o culoare naturala care se potriveste nuantei pielii si fizionomiei pacientei. In prezent pacienta se bucura de un zambet frumos, functional si sanatos

Before imageAfter image
Before imageAfter image

Reabilitare orala totala – cazul 03.3

Prezentare de caz, pe scurt:
Pacienta s-a prezentat in clinica HTSmile acuzand estetica nemultumitoare pe frontul maxilar datorata numeroaselor leziuni carioase tratate prin obturatii din material compozit. Acest material se coloreaza in timp dupa consumul de bauturi si alimente pigmentate si lasa impresia de dinti murdari. Cei doi incisivi centrali prezinta incongruenta dento-alveolara cu inghesuire. Morfologia nu este in armonie cu trasaturile chipului, neavantajand pacienta din punct de vedere estetic.

Tratament, pe scurt:
Ocluzia in zonele laterale este clasa 1, astfel incat slefuirea a fost minim invaziva pentru cei 4 incisivi maxilari. Slefuirea nu a necesitat devitalizarea nervului, fiind un sacrificiu minor al stratului exterior de smalt. Cea mai grea provocare in astfel de cazuri o reprezinta nuanta coronitelor in perfecta armonie cu cea a dintilor naturali. Pentru acest aspect, trebuie folosit un material de inalta calitate, translucid si o nuanta individualizata acestui caz. Morfologia noilor coronate trebuie sa avantajeze pacienta si sa evidentieze trasaturile chipului. S-a optat pentru imbracarea bonturilor protetice cu material ceramic Hybrid prin coronite individualizate si prag de preparatie sbgingival. Efectul este de naturalete, un zambet delicat, functional, frumos si sanatos.

Before imageAfter image
Before imageAfter image

Reabilitare orala totala – cazul 03.4

Prezentare de caz, pe scurt:
Pacientul se prezinta in clinica noastra acuzand inflamatie gingivala, sangerare la periaj, durere la palpare si spontan, estetica nemultumitoare, zone multiple retentive pentru alimente si lipsa spatiului de autocuratare in zona implanturilor dentare. La exemenul intraoral se constata coronite dentare incorect adaptate la nivelul cervical, lasand spatiu de infiltrare in bontul protetic subiacent. Lucrarile protetice sunt opace, necomforme cu fizionomia fetei pacientului, incorect adaptate ocluzal. Frontul mandibular a suferit procese de trauma ocluzala datorita duritatii mari a materialului antagonistilor si prezinta grad de mobilitate 1.

Tratament, pe scurt:
S-a realizat ablatia lucrarilor vechi, reconstructia bonturilor protetice si prepararea lor adecvata cu prag subgingival. Slefuirea dintilor de pe frontul inferior a fost realizata minim invaziv, cu sacrificiu minor al structurii biologice astfel incat nu a fost nevoie de tratamentul endodontic devitalizant. S-a realizat in laboratorul nostru, un set nou de coronite, adecvat adaptate morfologic in ocluzie si cervical. S-a tinut cont de fizionomia pacientului, nuanta pielii si trasaturile fetei atunci cand s-a realizat design-ul si s-a decis nuanta impreuna cu acesta. In prezent pacientul se bucura de un zambet functional, frumos si sanatos.

Before imageAfter image
Before imageAfter image

Reabilitare orala totala – cazul 03.5

Prezentare de caz, pe scurt:
Pacienta s-a prezentat in clinica HTSmile acuzand estetica nemultumitoare, gingie inflamata si dificultati alimentare (relief inexistent pe lucrarile vechi). S-a constatat ca lucrarile vechi metalo-ceramice, au infiltrat bonturile dentare subiacente, acestea aflandu-se la limita intre retratamente endodontice si extractie dentare. Lucrarile protetice, fiind confectionate din material nebiologic au lasat inflamatie la nivelul gingiei si innegrirea acesteia: “ tatuaj gingival”. Coronitele sunt opace, necomforme cu fizionomia pacientei, nuanta care nu avantajeaza, au dus la deplasari dentare si incongruenta dento-alveolara cu spatiere.

Tratament, pe scurt:
Dupa ablatia tuturor lucrarilor vechi metalo-ceramice, s-a constatat infiltrarea avansata a bonturilor subiacente si s-a decis inlocuirea pivotilor metalici, realizarea retratamentului de canal adecvat precum si inserarea pivotilor din fibra de sticla. Acest lucru ne-a oferit posibilitatea sa inaltam bonturile protetice, sa slefuim corespunzator cu praguri subgingicvale si sa amprentam. Pacienta a stat 3 saptamani cu o lucrare protetica provizorie pentru a se vindeca adecvat gingia si a putea amprenta in doi timpi pentru lucrarile protetice tip coronite integral ceramice unidentare. Laboratorul nostru de tehnica dentara, pe intreg procesul de realizare a noilor lucrari, a luat in calcul nuanta pielii pacientei, trasaturile ei caracteristice precum si fizionomia fetei. S-au realizat astfel lucrari protetice intr-o ocluzie perfecta, cu un relief ocluzal functional in masticatie si deglutitie. Pacienta se bucura in prezent de un zambet frumos, functional si sanatos.

Before imageAfter image
Before imageAfter image
Before imageAfter image

Reabilitare orala totala – cazul 03.6

Prezentare de caz, pe scurt:
Pacienta s-a prezentat in clinica HTSmile acuzand estetica nemultumitoare, mobilitate dentara in zona inferioara frontala, dificultati alimentare datorita breselor edentate in zonele laterale, inflamatie gingivala si sangerare spontana si palpatoriu. Dintii prezinta numeroase leziuni cuneiforme si abraziuni datorita traumei ocluzale. Numeroase retractii gingivale si resorbtii osoase, dintii frontali inferiori avand mobilitate grad 3. Existenta unei incongruente dento-alveolara prin spatiere datorita opierderii unor unitati dentare si odata cu ele, sprijinul si punctul de contact.

Tratament, pe scurt:
S-a realizat extractia tuturor dintilor infectati periapical, s-a asteptat perioada de vindecare adecvata a tesuturilor moi si s-au inserat implanturile dentare in bresele edentate. Pe perioada de osteointegrare pacienta a purtat o lucrare povizorie. Dupa cele 4-5 luni post chirurgie, s-a realizat descoperirea implanturilor si incarcarea lor protetica. Concomitent cu aceasta, s- au slefuit dintii restanti, intr-o maniera minim invaziva, cu prepararea pragului subgingival pentru o inchidere etansa. Distructia de tesut biologic a fost minora asfel incat nu a fost nevoie de tratamentul endodontic devitalizant. S-a optat pentru acoperirea tututor dintilor prin coronite unidentare din material ceramic hybrid. S-a tinut cont de fizionomia pacientei, nuanta pielii acesteia si dorintele proprii ale ei cu privire la estetica in conceperea coronitelor. In prezent pacienta se bucura de un zambet sanatos, functional si frumos.

Before imageAfter image
Before imageAfter image

Reabilitare orala totala – cazul 03.7

Prezentare de caz, pe scurt:
Pacientul se prezinta in clinica HTSmile prezentand dificultati alimentare datorita lipsei unitatilor masticatorii din zonele laterale. Dintii frontali inferiori au suferit procese de resorbtie radiculara si retractie gingivala in urma depunerilor de tartru. Dintii restanti se afla in trauma ocluzala avand un proces de egresiune marcata si mobilitate grad 1. Estetica nesatisfacatoare prin culoare, forma si morfologie neconcordanta cu fizionomia pacientului.

Tratament, pe scurt:
Dupa ce s-au extras dintii irecuperabili din punct de vedere protetic si parodontal, s-a realizat inserarea implanturilor in zonele breselor edentate si s-a asteptat 4-5 luni procesul de osteointegrare. Pacientul a purtat in zona frontala o lucare protetica tip punte dentara din material provizoriu. Dintii restanti s-au slefuit minim invaziv si au fost acoperiti cu material ceramic hybrid sub forma coronitelor unidentare. In prezent pacientul se bucura de un zambet sanatos, cu papile gingivale si gingie frumos conturate datorita pragurilor subgingivale si a materialului biointegrabil. Zambetul are un aspect natural si noua ocluzie completa ajuta procesul de masticatie si deglutitie.

Before imageAfter image
Before imageAfter image

Reabilitare orala totala – cazul 03.8

Prezentare de caz, pe scurt:
Pacienta s-a prezentat in clinica HTSmile acuzand estetica nemultumitoare, gingie inflamata, “tatuaj gingival” dificultati alimentare si repetitive episode suppurative la nivel gingival de sub lucrarea metalo-ceramica consolitdata sub forma de potcoava. Pacienta prezinta o dimensiune verticala de ocluzie micsorata datorita lucrarii maxilare scurtate prea mult. Dintii frontali inferiori cu grad de mobilitate 3 si numeroase brese edentate ce fac imposibila alimentatia si deglutitia in limite normale.

Tratament, pe scurt:
S-a realizat inserarea implanturior dentare in bresele edentate laterale si s-a asteptat perioada de osteointegrare de 4-5 luni. S-au extras dintii irecuperabili din punct de vedere proetetic. Dupa ablatia lucrarii vechi metalo-ceramice, s-au preparate bonturile protetice cu praguri subgingivale si s-a decis reconstructia unora dintre bonturi prin inaltarea lor incizala si ocluzala. S-au slefuit dintii restanti intr-o maniera minim invaziva si s-au acoperit cu material ceramic hybrid. Am optat pentru o nuanta naturala si o forma a dintilor care sa avantajeze trasaturile pacientei. Aceasta se bucura in prezent de un zambet sanatos, frumos si functional. Prin acest tratament s-a rebilitat functia masicatorie, avand ocluzie corecta si completa pe care sa se realizeze alimentatia precum si functiile fonatorii si estetice.

Before imageAfter image
Before imageAfter image

Reabilitare orala totala – cazul 04

Prezentare de caz, pe scurt:

Pacienta s-a prezentat in clinica HTSmile in urma unui tratament ortodontic in antecedente si fara sa respecte mentiunea de a purta contentia post-ortodontie. Aceasta acuza un aspect estetic nesatisfacator prin forma dintilor ce nu o avantajeaza si nu contureaza trasaturile fetei precum si coloratiile exo si endogene. Aceasta prezinta numeroase lucrari nefizionomice tip coronite, neadaptate la colet si ocluzal.

 

Tratament, pe scurt:

S-a realizat ablatia lucrarilor vechi, refacerea bonturilor infiltrate. S-au slefuit dintii intr-o maniera minim invaziva, fara sa fie necesara devitalizarea lor. Particularitatea cazului a fost reprezentat de tratamentele endodontice in antecedente si o culoare cenusie a dintilor respectivi. S-a realizat retratamentul acestora si s-au cimentat coronitele respective cu un ciment special care sa ne acopere nuanta cenusie. Dintii au fost imbracati in lucrari protetice tip coronite ceramice individuale. Pacienta se bucura in prezent de un zambet luminous si sanatos care ii potentiaza trasaturile minunate al  fetei.

Before imageAfter image
Before imageAfter image

Reabilitare orala totala – cazul 04.1

Prezentare de caz, pe scurt:
Pacienta s-a prezentat in clinica HTSmile prezentand o gingie sangeranda spontan si la palpare, aspect inestetic datorita opacitatii coronitelor deja prezente, a morfologiei in dezacord cu chipul pacientei si a culorii nepotrivite. Datorita faptului ca metalo-ceramica adduce infiltratii la bonturile subiacente, gingia era retrasa si inflamata. Brese edentate prezente, reabilitate ulterior prin implanturi dentare. Tipar masticator aberant din punct de vedre ocluzal, cu trauma pe dintii frontali.

Tratament, pe scurt:
S-a realizat ablatia lucrarior vechi, s-au gasit bonturile protetice infiltrate, s-au refacut si s-au inserat implanturi dentare in bresele edentate. Pacienta a purtat in erioada osteointegrarii din zona laterala o punte din material provizoriu. S-au slefuit dintii mandibulari minim invaziv, fara necesitatea devitalizarii nervului si s-au acoperit prin coronite unidentare cu ceramica hybrida. Am ales o morfologie a noilor coronite si o nuanta care sa avantajeze pacienta si sa se afle in armonie cu trasaturile fetei. In prezent aceasta se bucura de un zambet sanatos si stralucitor.

Before imageAfter image
Before imageAfter image
Before imageAfter image

Reabilitare orala totala – cazul 04.2

Prezentare de caz, pe scurt:
Pacienta s-a prezentat in clinica HTSmile acuzand dificultati alimentare prin lipsa ocluziei din zonele laterale, mobilitate dentara grad 1 datorita traumelor ocluzale si estetica zambetului nemultumitoare. Dintii prezentau numeroase leziuni de abfractie, abraziuni si fisuri in smalt precum si coloratii exogene. Coridor bucal marit si numeroase tratamente endodontice incorect si incomplete realizate.

Tratament, pe scurt:
S-a decis imbracarea tuturor dintilor in ceramica hybrida in vederea conservarii vitalitatii acestora. Slefuirea a fost minim invaziva, cu sacrificiu biologic insignificant, fara devitalizare nerv. S-a inlaturat contentia de sustinere a frontului inferior si s-a decis protezarea breselor edentate. S-au realizat retratamentele de canal, inlaturarea pivotilor vechi metalici si inserarea pivotilor din fibra de sticla. Am optat pentru o nuanta naturala care avantajeaza si evidentiaza trasaturile frumoase ale pacientei. In prezent, pacienta se bucura de un zambet sanatos, frumos si functional.

Before imageAfter image
Before imageAfter image
Before imageAfter image

Reabilitare orala totala – cazul 05

Prezentare de caz, pe scurt:

Pacienta s-a prezentat in clinica HTSmile cu numeroase brese edentate, o fizionomie nesatisfacatoare, procese carioase surprinse incipient precum si sensibilitate dentara la factori fizici si chimici precum dulciurile sau bauturile reci. Pacienta nu prezenta suficient suport osos intrucat extractiile din antecedente au fost realizate traumatic. Dntii vecini unei brese edentate au migrat si au inchis spatiul necesar pentru implant in cadranul 1 asa ca am optat pentru puntea dentara din 3 elemente,

 

Tratament, pe scurt:

Etapa chirurgicala a constat in aditia osoasa si inserarea implanturilor. Pe perioada osteointegrarii, perioada ce a durat 5 luni, am optat pentru cimentarea unor lucrari provizorii pentru ca pacienta sa se bucure de un zambet complet, fara spatii chiar si in aceste luni. S-au slefuit dintii naturali printr-un protocol de lucru minim invaziv, fara necesitatea devitalizarii acestora. Coronitele de acoperire sunt realizate din ceramica hibrida, acestea fiind individuale. Toate etapele de tratament s-au incheiat la timp pentru marele eveniment din viata pacientei si aceasta a stralucit in ziua nuntii, zambetul intregind chipul frumos al acesteia.

Before imageAfter image

Reabilitare orala totala – cazul 06

Prezentare de caz, pe scurt:

Un caz aparte in Clinica HTSmile intrucat nu am recurs la reabilitarea orala totala. Pacienta avea o dantura impecabila, fara tratament endodontic in antecedente. Forma dintilor se incadra perfect in fizionomia fetei, ocluzia stabila, culoarea satisfacatoare…practic avem numai cuvinte de lauda. Ce o nemultumea pe aceasta, era dimensiunea mica a incisivilor laterali si doua brese edentate in zona laterala mandibulara.

Tratament, pe scurt:

Particularitatea cazului si pentru cunoscatori, a oricarui caz de acest gen, o reprezinta culoarea, translucenta si forma coronitelor ce imbraca incisivi laterali ce trebuie sa fie intr-o armonie perfecta cu incisivii centrali naturali. In numeroase cazuri, majoritatea medicilor stomatologi opteaza pentru imbracarea celor 4 dinti intrucat este aproape imposibil sa te apropii asa mult de situatia naturala. Noi am reusit… colaboratorii nostrii de tehnica dentara  au facut toata magia.  Daca aceste coronite nu ar fi indicate in poze, voi v-ati da seama care sunt imbracati si care nu? Ceramica folosita de noi este intr-adevar uluitoare.

Before imageAfter image

Reabilitare orala totala – cazul 07

Prezentare de caz, pe scurt:

Pacienta s-a prezentat in clinica HTSmile prezentand procese infectioase periapicale la numerosi dinti, brese edentate de dimensiuni extinse si  o estetica a zambetului nesatisfacatoare. Pacienta nu putea zambi iar stima de sine era extrem de coborata in mediul social. Suportul osos la nivelul mandibular a fost insuficient, avand necesitatea unei aditii osoase si temporizarea inserarii implanturilor. Intrucat pacienta nu a droit sa astepte aceasta perioada, am recurs provizoriu la confectionarea unei lucrari protetice mobile tip proteza siliconica.

Tratament, pe scurt:

Am realizat asanarea cavitatii orale prin indepartarea tuturor proceselor infectioase. Am slefuit printr-un protocol de lucru minim invaziv dintii restanti in vederea acoperirii cu material ceramic hibrid. Individualitatea cazului a fost reprezentat de incongruenta dento-alveolara frontala prin spatiere. Aceasta este denumita in termeni populari – pastrunga – Intrucat spatiul a fost foarte mare, echipa de tehnicieni dentari a reusit sa gaseasca cea mai optima varianta. Mentionam faptul ca pacienta si-a droit pastrarea acestui spatiu, dar intr-o maniera mai redusa. Uneori astfel de artificii de imperfectiune fac dantura sa arate si mai natural fara sa se observe lucrarile de tip coronite individuale.

caz reabilitare orala clinica HTSmile 2025 beforecaz reabilitare orala clinica HTSmile 2025 after

Reabilitare orala totala – cazul 08

Prezentare de caz pe scurt:
Pacienta se prezinta cu o estetica nesatisfacatoarea datorita coloratiilor dentare endogene, ca urmare a administrarii de antibiotic in copilarie. Pe langa acest aspect, se remarca si numeroase leziuni de abfractie si abraziuni datorate bruxismului si a unei ocluzii instabile. Pacienta are o dimensiune verticala de ocluzie micsorata.

Tratament pe scurt:
Dupa studiul modelelor in articulator, s-a decis ca plan de tratament reabilitarea orala totala. S-au slefuit toti dintii in vederea acoperirii cu material ceramic hibrid sub forma coronitelor unidentare. Pentru acest tratament nu a fost necesara devitalizarea dintilor.
Pacienta are o igiena extraordinara si se bucura de noul zambet stralucitor si sanatos.

Stiai ca…?

După pierderea unui dinte, osul începe să se resoarbă în doar câteva luni.

Before imageAfter image
Before imageAfter image

Reabilitare orala totala – cazul 09

Prezentare de caz, pe scurt:
Pacienta s-a prezentat cu incongruenta dento-alveolara prin inghesuire severa, cu numeroase procese carioase si o bresa edentata in zona premolarului. Culoarea si forma dintilor sunt inestetice.

Tratament, pe scurt:
Dupa studiul modelelor pe articulator s-a stabilit ca plan de tratament reabilitarea orala totala. S-a optat pentru indreptarea dintilor prin intermediul aparatelor tip gutiere invizibile SPARK pentru o perioada de 8 luni. La finalul tratamentului, toti dintii s-au slefuit, fara necesitatea devitalizarii, in vederea acoperirii cu ceramica hibrida sub forma coronitelor unidentare. Inainte de slefuire, s-au curatat si obturat toate procesele carioase, s-a inserat un implant dentar si s-a tratat endodontic dintele care nu mai putea fi salvat printr-o simpla obturatie datorita stadiului avansat in care a fost surprins.

Stiai ca…?

Implantul dentar este realizat din titan, un material 100% biocompatibil cu organismul uman.

Before imageAfter image

Reabilitare orala totala – cazul 10

Prezentare de caz, pe scurt:
Pacienta s-a prezentat cu numeroase coloratii endogene, o culoarea a dentinei foarte galbena si o incongruenta dento-alveolara prin spatiere in zona interincisiva. Forma dintilor este nesatisfacatoare si prezinta numeroase fisuri ale smaltului.

Tratament, pe scurt:
Dupa studiul modelelor in articulator s-a decis ca plan de tratament reabilitarea orala totala. Dintii au fost slefuiti fara necesitatea devitalizarii, pentru a putea fi ulterior acoperiti de coronite ceramice hibride unidentare.
Pacienta se bucura in prezent de un zambet de vedeta!

Stiai ca…?

Timpul de vindecare după inserarea implantului este, în general, între 3 și 6 luni.

Before imageAfter image

Reabilitare orala totala – cazul 11

Prezentare de caz, pe scurt:
Pacientul prezinta lipsa unitatilor masticatorii din zona mandibulara. Acest fapt a condus la suprasolicitarea dintilor frontali, fisurarea smaltului, numeroase leziuni de abfractie si abraziune. Pacientul acuza o estetica nesatisfacatoare, stima de sine scazuta si anxietate fata de procedurile chirurgicale. Existenta a doua resturi radiculare si chisturi periapicale.

Tratament, pe scurt:
Dupa studiul modelelor, s-a decis ca plan de tratament reabilitarea orala totala. Dintii au fost slefuiti, fara necesitatea devitalizarii, in vederea acoperirii cu lucrari protetice unidentare integral ceramice. Bresele edentate au beneficiat de inserarea implanturilor dentare si dupa o perioada optima de osteointegrare, cimentarea lucrarilor definitive. S-au extras resturile radiculare, s-au chiuretat chisturile periapicale si astfel am eliminat focarele de infectie.
Pacientul se bucura in prezent de noul aspect si functionalitatea perfecta a danturii.

Stiai ca…?

Periajul dentar ar trebui să dureze cel puțin 2 minute? Majoritatea oamenilor se spală pe dinți mai puțin de un minut, ceea ce nu este suficient pentru a îndepărta eficient placa bacteriană.

Before imageAfter image
Before imageAfter image

Reabilitare orala totala – cazul 12

Prezentare de caz, pe scurt:
Numeroase resturi radiculare cu procese chistice periapicale. Multiple leziuni carioase surprinse tardiv in evolutie. Coronite metalo-ceramice in zona frontala, inestetice si inadecvat adaptate morfologic si cervical. Bonturile subiacente infiltrate, tratamente endodontice incomplet si incorect realizate. Ocluzie instabila, tipar masticator aberant. Particularitatea cazului a constat intr-o anxietate foarte mare a pacientului fata de stomatoloie.

Tratament, pe scurt:
Tratamentul a fost complex si dupa studierea modelelor in articulator, s-a optat pentru reabilitarea orala totala. Prima etapa a fost cea chirurgicala. S-au extras resturile radiculare restante, s-a asanat cavitatea orala si s-au inserat implanturile dentare. A doua etapa a constat in ablata coronitelor vechi, refacerea bonturilor proteice si retratarea endodontica a dintilor compromisi. S-a optat pentru inserarea pivotilor din fibra de sticla pentru durabilitate crescuta. Ulterior dintii au fost slefuiti, fara necesitatea devitalizarii, in vederea acoperirii cu lucrari protetice unidentare integral ceramice. Dupa perioada de osteointegrare a implanturilor, pacienta s-a prezentat in clinica HT Smile pentru descoperirea acestora si incarcarea lor protetica.
Pacienta se bucura in prezent de un zambet complet, gingii sanatoase si tipar masticator adecvat.

Stiai ca…?

O igienă orală deficitară poate afecta inima? Bacteriile din gură pot ajunge în sânge și contribui la boli cardiovasculare. Sănătatea orală este strâns legată de sănătatea generală.

Before imageAfter image
Before imageAfter image

Reabilitare orala totala – cazul 13

Prezentare de caz, pe scurt:
Pacientul prezinta numeroare brese edentate, fapt ce a condus la un tipar masticatoriu aberant, ce suprasolicita anumite structuri dentare. Dintii se afla in trauma ocluzala, gingia s-a retras si au inceput procesele de resorbtie osoasa. Functia estetica este nesatisfacatoare datorita coloratiilor endo si exogene, fisurilor, incongruentelor prin inghesuire si abraziunilor.

Tratament, pe scurt:
Dupa studiul modelelor in articulator s-a decis ca plan de tratament reabilitarea orala totala. Bresele edentate au fost restaurate prin inserarea implanturilor dentare iar dintii au fost slefuiti, fara necesitatea devutalizarii, in vederea acoperirii prin coronite unidentare integral ceramice. La un interval de 6-7 luni, pacientul s-a prezentat in clinica stomatologica HT Smile in vederea descoperirii implanturilor si cimentaea lucrarilor definitive. Pe parcursul acestui interval de timp, pacientul a beneficiat de lucrari dentare provizorii in zonele cu implanturi dentare.
Particularitate de caz: Pacientul a optat pentru o nuanta naturala si calda a noilor coronite dentare.
In prezent, acesta se bucura de o gingie sanatoasa, papile dentare coborate in spatiile special create, masticatie corect realizata si estetica desavrasita.

Stiai ca…?

Scrâșnitul dinților (bruxismul) poate apărea chiar și în somn, fără să-ți dai seama? Bruxismul poate duce în timp la tocirea dinților, dureri de cap și chiar afecțiuni ale articulației temporo-mandibulare. O gutieră de protecție purtată noaptea poate preveni aceste probleme.

Before imageAfter image

Reabilitare orala totala – cazul 14

Prezentare de caz, pe scurt:

Pacienta se prezinta cu majoritatea dintilor acoperiti de coronite metalo-ceramice, incorect adaptate morfologic si functional. Acestea nu se potrivesc chipului pacientei, gingiile sunt sangerande spontan si la palpare iar bonturile protetice subiacente sunt infiltrate.

Existenta breselor edentate in zonele laterale, masticatie incorect efectuata si fonatie improprie.

Tratament, pe scurt:

Dupa studiul modelelor, s-a decis ca plan de tratament reabilitarea orala totala. S-au inserat implanturile dentare in zonele edentate si s-au inlaturat coronitele vechi. Au fost reabilitate bonturile protetice printr-o slefuire cu limite precise au fost tratate procesele carioase lasate pe acestea. Dintii au fost slefuiti, fara necesitatea devitalizarii, in vederea acoperirii cu lucrari protetice unidentare integral ceramice. Particularitatea cazului a constat intr-o expunere sociala foarte mare a pacientei si necesitatea unei fonatii perfecte. Tehnicienii dentari au tinut cont de fizionomia acesteia, culoarea pielii si preferintele personale ale pacientei cu privire la noul aspect.

Pacienta se bucura in prezent de o fonatie ireprosabila, functie masticatorie reabilitata si un zambet stralucitor.

Stiai ca…?

Timpul de vindecare după inserarea implantului este, în general, între 3 și 6 luni.

Before imageAfter image

Reabilitare orala totala – cazul 15

Pacientul prezinta numeroase obturatii nefizionomice, din amalgam, incorect adaptate ocluzal. Structura dura dentara a suferit leziuni de abraziune si multiple fisuri ale smaltului.

Functie estetica nesatisfacatoare si tipar masticator aberant din punct de vedere functional.

 

Tratament, pe scurt:

Dupa analiza modelelor de studiu pe articulator, s-a decis ca plan de tratament reabilitarea orala totala. Dintii au fost slefuiti, fara necesitatea devitalizarii, in vederea acoperirii prin lucrari protetice tip coronite unidentare integral ceramice. Bresa edentata din zona maxilara a fos reabilitata prin inserarea a doua implanturi dentare. Pe perioada osteointegrarii, pacientul a beneficiat de o lucrare dentara provizorie pentru zona respectiva.

Pacientul se bucura in prezent de un zambet perfect, functional si vine periodic la consultatii.

Stiai ca…?

Implanturile dentare îți pot îmbunătăți pronunția și vorbirea.

Before imageAfter image
Before imageAfter image

Reabilitare orala totala – cazul 16

Prezentare de caz, pe scurt:

Pacienta se prezinta cu numeroase lucrari de tip coronite ceramice, incorect adaptate, gingie sensibila si dureroasa la atingere si spontan. Aceasta are zonele laterale mandibulare edentate si resorbtii osoase. Premolarii superiori din partea stanga au suferit in antecedente rezectii apicale pe mai mult de doua treimi din radacina. Estetica nemultumitoare si functie masticatorie inexistenta in zona laterale, dintii frontali aflati in trauma ocluzala.

 

Tratament, pe scurt:

Dupa studiul modelelor, s-a decis ca plan de tratament reabilitarea orala totala. S-a realizat inlaturarea tuturor coronitelor vechi, neadecvat adaptate ocluzal si la colet. S-au restaurant bonturile protetice infiltrate, s-au inserat implanturile dentare si pacienta a beneficiat pe perioada osteointegrarii de lucrari provizorii in zonele respective. Premolarii au fost extrasi, acestia prezentand mobilitate avansata. S-au slefuit dintii, fara necesitatea devitalizarii si s-au acoeprit prin coronite unidentare integral ceramice.

In prezent pacienta se bucura de un zambet luminos, o sanatate impecabila a gingiilor si o functie masticatorie corecta. Aceasta vine periodic la controale si are o igiena orala adecvata.

Stiai ca…?

O carie netratată la timp poate ajunge la nervul dintelui și necesita tratament de canal.

Reabilitare orala totala – cazul 17

Prezentare de caz, pe scurt:
Pacient cu numeroase resturi radiculare, cavitati carioase surprinse tardiv in evolutie, distanta verticala de ocluzie micsorata, leziuni de eroziune acida si abfractie datorita traumei ocluzale. Pacientul nu prezinta dinti in zonele laterale, tiparul masticator fiind exclusiv in zona incisiva.
Estetica nesatisfacatoare, pacientul nu zambeste in mediile sociale din care provine.

 Tratament, pe scurt:
Dintii recuperabili din punct de vedere protetic si parodontal au fost tratati endodontic. S-au realizat tratamentele de canal adecvate, urmate de inserarea pivotilor din fibra de sticla si constructia bonturilor protetice. In etapa chirurgicala, s-au efectuat extractiile resturilor radiculare si inlaturarea focarelor de infectie. La o luna dupa aceste interventii, pacientul s-a prezentat in Clinica HT Smile pentru inserarea implanturilor dentare. In prezent, pacientul poarta o lucrare protetica provizorie pentru a stabili distanta verticala de ocluzie optima. Musculatura se obisnuieste cu noile unitati masticatorii si pacientul se poate decide cu privire la forma si culoarea lucrarilor definitive.
In prezent, pacientul este nerabdator pentru cimentarea coronitelor unidentare integral ceramice si se bucura de zambetul provizoriu.

Before imageAfter image

Stiai ca…?

Tratamentul de canal salvează dintele, evitând extracția chiar și în cazuri avansate de infecție.

Reabilitare orala totala – cazul 18

Prezentare de caz, pe scurt:

Pacientul se prezinta cu dureri dentare datorita unor coronite metalo-ceramice impropriu adecvate la nivelul coletului. Acesta are spatii edentate in zonele laterale, tiparul masticator fiind deviat si cauzand trauma ocluzala la nivel canin. Datorita unor dinti suprasolicitati in lipsa zonelor masticatorii, unii dinti au un grad de mobilitate mediu. Structura dura a smaltului are numeroare fisuri, abraziuni si abfractii. Estetica dentara nefiind satisfacatoare iar pacientul evitand sa isi descopere zambetul in cadrele sociale din care provine.

 

 

 

Tratament, pe scurt:

In urma studiului de caz pe model si in articulator, s-a decis ca plan de tratament reabilitarea orala totala. Prima a fost etapa chirurgicala unde s-au inserat implanturile dentare. Pacientul nu a avut nevoie de aditii osoase suplimentare. In cea de-a doua etapa, dintii restanti s-au slefuit, fara necesitatea devitalizarii acestora, in vederea acoperirii cu lucrari dentare tip coronite unidentare integral ceramice. Zonele edentate au fost reabilitate provizoriu, pana la osteointegrarea implanturilor prin lucrari protetice provizorii.

Dupa o perioada de 5 luni, pacientul s-a prezentat in Clinica HT Smile pentru descoperirea implanturilor si acoeprirea cu lucrarile definitive.

In prezent, pacientul de bucura de un zambet de vedeta si functional din punct de vedere masticator. Acesta vine la controale periodice si are o igiena dentara impecabila.

Stiai ca…?

Realizat corect, un tratament de canal poate păstra dintele funcțional mulți ani, fără durere.

Before imageAfter image

Reabilitare orala totala – cazul 19

Prezentare de caz, pe scurt: 

Pacienta prezinta edentatii in zonele masticatorii, numeroase coronite metalo-ceramice, incorect adaptate la colet si fara relief morfologic ocluzal. Gingia sufera coloratii datorita structurii metalice si este merau sangeranda si dureroasa spontan si la palpare. Existenta incongruentei dento-alveolara prin inghesuire si imposibilitatea masticatiei adecvate.

 

Tratament, pe scurt:

S-a realizat inlaturarea coronitelor vechi metalo-ceramice care nefiind corect adaptate, au condus la infiltratii si distructia bonturilor protetice. Acesti dinti, compromisi, au fost restaurati prin tratamente endodontice adecvate, inserarea pivotilor din fibra de sticla pentru rezistenta ulterioara si acoperirea acestora cu lucrari tip coronite unidentare integral ceramice. Dintii frontali, au fost iginizati, slefuiti, fara necesitate de devitalizare si acoperiti de coronite. Edentatiile au fost reabilitate prin inserarea a 4 implanturi dentare.

In prezent pacienta se bucura de un zambet complet si functional din punct de vedere masticator.

Stiai ca…?

Realizat corect, un tratament de canal poate păstra dintele funcțional mulți ani, fără durere.

Before imageAfter image

Reabilitare orala totala – cazul 20

Prezentare de caz, pe scurt:

Pacienta prezinta numeroase procese carioase, unul dintre acestea fiind surprins tardiv in evolutie, dintele avand camera pulpara deschisa. Spatii edentate in zona masticatorie, fapt ce a condus la o trauma ocluzala in zona frontala si numeroase abraziuni dentare. Estetica nesatisfacatoare prin coloratiile endogene si exogene, inaltimea dintilor micsorata si lipsa dintilor facand zambetul incomplet.

 

Tratament, pe scurt:

Dintele cu procesul carios avansat a fost tratat endodontic prin tratament de canal adecvat, inserare pivot fibra de sticla si construire bont protetic. Bresele edentate au beneficiat de inserarea implanturilor dentare fara aditii osoase suplimentare.

Stiai ca…?

Extracția dentară este recomandată doar atunci când dintele nu mai poate fi salvat prin alte tratamente.

Before imageAfter image

Reabilitare orala totala – cazul 21

Prezentare de caz, pe scurt:

Pacient cu edentatie in zona frontala inferioara, reabilitata printr-o proteza dentara mobila si incongruenta dentara prin spatiere si vestibularizare in zona incisiva maxilara. Functia estetica si fonatorie alterata.

 

 Tratament, pe scurt:

Dintii frontali superiori au fost slefuiti fara devitalizare iar laboratorul de tehnica dentara a realizat un design optim pentru spatiul incisivilor, intr-o armonie desavarsita.

In zona inferioara s-au inserat doua implanturi dentare in pozitiile incisivilor laterali.

Dupa o perioada de 3 luni, pacientul s-a prezentat in clinica stomatologica HT Smile pentru incarcarea implanturilor dentare cu patru coronite integral ceramice solidarizate. Pe perioada de osteointegrare, pacientul a purtat o noua lucrare acrilica mobilizabila, situata la distanta de mucoasa orala pentru a nu compromite procesul de osteointegrare a implanturilor.

In prezent, pacientul se bucura de un zambet armonios, fara sa trebuiasca sa scoata in fiecare noapte proteza dentara.

Stiai ca…?

După o extracție, este important să înlocuiești dintele pierdut pentru a preveni deplasarea celor vecini și pierderea osoasă.

Before imageAfter image