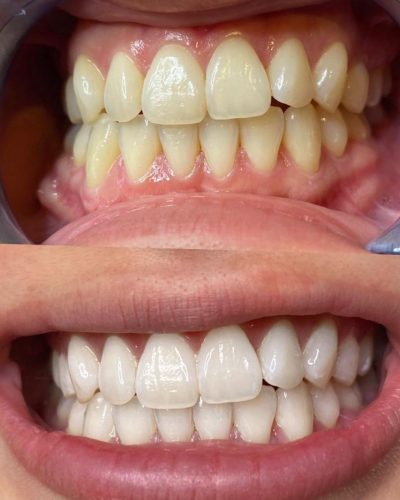
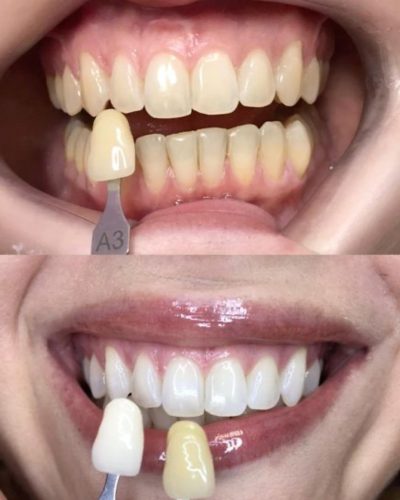
Albirea dentară este un procedeu stomatologic estetic care are scopul de a îndepărta petele și decolorările de pe suprafața dinților, redându-le o nuanță mai albă și mai strălucitoare. Acest tratament poate fi realizat fie profesional, în cabinetul stomatologic, fie acasă, cu produse speciale recomandate de medic.





